发布时间: 2026/3/23
阅读次数:
近日,奉节县中医院心血管病科团队为一位72岁的复杂冠脉病变患者成功实施冠状动脉旋磨术。据悉,这是奉节地区首次开展该项技术,标志着医院在冠脉严重钙化病变处理领域取得重要技术突破,也意味着县域内冠脉介入技术体系实现全面覆盖。
病例回顾 七旬婆婆三支病变,血管钙化成“硬骨头”
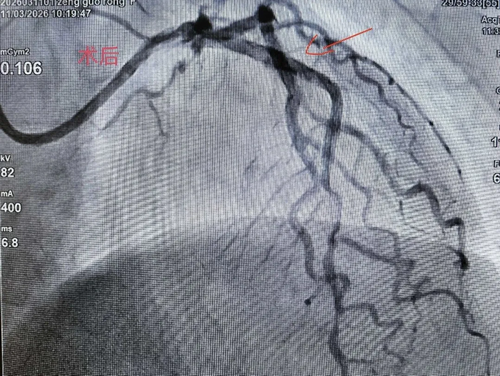
患者曾某某,女性,72岁,一个月前因急性心肌梗死入院。急诊造影显示:前降支、右冠重度狭窄伴严重钙化,回旋支完全闭塞。心血管病科团队第一时间开通闭塞的回旋支并植入支架,患者转危为安。
本次为行二期治疗,患者再次入院,拟对前降支及右冠进行处理。术中造影提示,前降支重度狭窄且钙化极为严重。血管内超声进一步提示:前降支存在270°范围的弥漫性长节段钙化——这意味着血管壁坚硬如石,常规球囊根本无法充分扩张,支架也无法良好贴壁,是介入治疗中公认的"硬骨头"。
技术突破 首例旋磨术,用“金刚钻”破解禁区
面对这一难题,心血管病科团队果断决定,实施冠状动脉旋磨术。什么是冠状动脉旋磨术? 简单来说,就是用一枚镶嵌着微小钻石颗粒的旋磨头,以每分钟高达15万转的速度高速旋转,像"金刚钻"一样将血管壁上的严重钙化斑块打磨成微粒。这些微粒非常微小,可以随血液循环安全排出,随血液循环安全排出,血管恢复弹性,为球囊扩张和支架植入创造条件。
术中,团队先后3次使用1.5万转/分的旋磨头,精准击碎钙化"硬壳"。旋磨成功后,顺利行球囊扩张并于前降支植入支架。同期,团队还对右冠病变进行了介入处理。术后患者血管开通效果理想,目前正在康复中。
全县首例 填补技术空白
此次手术的成功开展,是奉节地区首例冠状动脉旋磨术,填补了县域内该项技术的空白。冠脉旋磨术被喻为"钙化攻坚利器",对术者操作经验和技术水平要求极高,此前这类严重钙化病变往往需要转诊到重庆大医院。“随着旋磨技术的开展,医院心内科现已具备处理冠脉钙化病变、分叉病变、左主干病变等各类复杂病变的介入能力,冠脉介入诊疗技术体系日臻完善。”心血管病科负责人表示,“这意味着奉节老百姓在家门口就能解决复杂心脏问题,再也不用为看病往外跑了。”
从急诊抢救到择期复杂病变处理,从常规介入到攻克钙化“禁区”,奉节县中医院心血管病科始终立足于服务本地患者,以实实在在的技术突破践行“大病不出县”的医者担当。
(撰稿人:廖智多)



