发布时间: 2025/9/11
阅读次数:
近日,奉节县中医院肺病科在重医附二院支医专家赵燕教授、山东省滨州市支医专家冯玉霞教授的倾力指导下,成功为一名29岁女性患者实施了全麻下“气管镜下气管内新生物圈套电切+冷冻治疗术”。该手术的圆满成功,标志着医院在气道介入领域取得又一突破性进展,技术水平迈上新台阶。
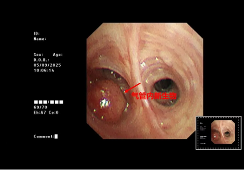
患者因“咳嗽、咳痰”就诊,胸部CT检查发现左肺下叶支气管内有一圆形新生物,阻塞气道,需行手术治疗。传统外科手术创伤大、恢复慢,为确保患者得到最优化、微创的治疗,重医附二院及山东省滨州市支医专家主持参与术前方案研讨、风险评估及应急预案制定,为手术的顺利实施提供了坚实的保障。
术中,在专家团队的实时指导下,肺病科气道介入团队操作娴熟、配合默契,精准快速运用圈套器电切结合冷冻治疗技术,将气道内新生物完整、彻底切除,术中几乎无出血,手术时间不超过20分钟,术后无任何不适及并发症,恢复良好。
此例气道介入手术的成功开展,充分体现了奉节县中医院肺病科不断进取、勇攀高峰的专业精神,更是“上下联动、专家下沉”医疗帮扶模式带来的成果。肺病科全体医护人员将继续依托专家资源,不断提升专科诊疗能力,以更精湛的医术、更优质的服务,为奉节县及周边地区人民群众的呼吸健康保驾护航!(撰稿人:谢宗良)


